
As the market for private dentistry increases so does the demand for crown and bridge dental laboratories to provide higher quality work with outstanding aesthetics, through using the latest award winning dental technology including 3D printers and CAD/CAM, our dental laboratory is successfully meeting this growing demand. We are an iTero partner laboratory and a Trios ready laboratory, allowing you to send your intra-oral scans directly to us.

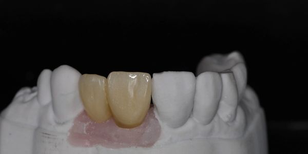
Our dental technicians are here to support you in choosing the optimum restorative products for each case, helping you create a smile that your patients will be proud of. Whether you are looking for a single bonded crown or full mouth rehabilitation. Using the most up to date equipment and the finest materials, we are able to offer a complete range of restorations.

Rick McGuinness, our director, has delivered lectures on behalf of BioHorizons to dental technicians seeking to expand their knowledge and enhance their skills in implant cases. As a Straumann Platinum Standard Approved Technician, Rick demonstrates an ongoing commitment to excellence and the highest standards of work. With over 30 years of experience, he has played a key role in establishing us as a leading high-quality implant dental laboratory.

We believe it is important to listen to our dentists and their patients, we know their requirements and offer a wide range of high quality procedures to meet the varying and demanding needs of all their patients. Including implant planning as well ascrown and bridge case planning. We also attend joint consultations and shade takes with our locally based dentists to ensure we are able to provide a personal service and first class results.

We have the expertise to help you from the early stages of treatment planning through to the final fitting of the restoration. We are also able to provide technical support and patient shade consultations.